เนื้อหาในหมวด ข่าว

หนุ่มกระเพาะทะลุ ตับเป็นฝีหนอง หมอเตือนทุกคนที่ชอบ \

หนุ่มกระเพาะทะลุ ตับเป็นฝีหนอง หมอเตือนทุกคนที่ชอบ "กินปลา" ไม่ระวังอาจถึงตาย

หนุ่มกระเพาะทะลุ ตับเป็นฝีหนอง เอกซเรย์ดูแล้วอึ้ง หมอเตือนทุกคนที่ชอบ "กินปลา" ไม่ระวังอาจถึงตาย

ปลาเป็นอาหารที่อร่อยและมีคุณค่าทางโภชนาการสูง แต่หากกินไม่ระวัง ก็อาจนำไปสู่เหตุการณ์อันตรายถึงชีวิตได้ เช่นเดียวกับกรณีของชายวัย 37 ปีในประเทศจีน ที่เกือบต้องสูญเสียครึ่งหนึ่งของตับเพราะ “ก้างปลา” เพียงชิ้นเดียว

เมื่อประมาณครึ่งเดือนก่อน ชายคนนี้เริ่มมีอาการปวดท้องรุนแรง มีไข้สูง หนาวสั่น และอุณหภูมิร่างกายขึ้นถึง 40 องศาเซลเซียส แพทย์ในโรงพยาบาลท้องถิ่นวินิจฉัยว่าเขาเป็นฝีในตับ (Liver abscess) จึงให้ยาปฏิชีวนะและทำการดูดหนองออก แต่หลังจากรักษาอยู่หลายวัน อาการกลับไม่ดีขึ้นและยังมีไข้สูงไม่หยุด

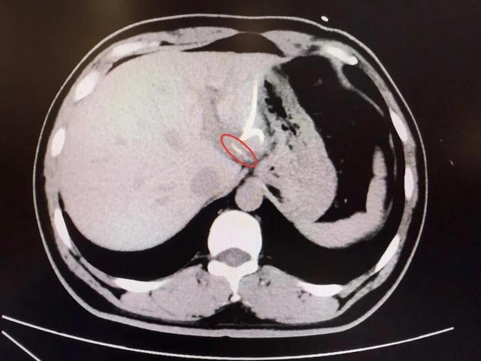
พบ “ก้างปลา” ทิ่มทะลุตับ หลังถ่ายภาพเอกซเรย์

แพทย์จึงตัดสินใจทำการเอกซเรย์ CT Scan และพบสิ่งผิดปกติในตับซีกซ้าย มีก้อนแหลมยาวลักษณะคล้ายก้างปลาฝังอยู่ใกล้บริเวณกระเพาะอาหาร ตรวจสอบเพิ่มเติมพบว่า ก้างปลาดังกล่าวได้ทิ่มทะลุกระเพาะอาหารและแทงเข้าไปในเนื้อตับ ทำให้เกิดการติดเชื้อและเกิดฝีหนองขนาดใหญ่ภายใน

แพทย์แนะนำให้ผ่าตัดนำก้างปลาออกพร้อมตัดตับซีกซ้ายเพื่อความปลอดภัย แต่ผู้ป่วยปฏิเสธเพราะการผ่าตัดมีความเสี่ยงสูง สุดท้ายจึงถูกส่งต่อไปโรงพยาบาลขนาดใหญ่เพื่อทำการผ่าตัดผ่านกล้อง (Laparoscopic surgery)

    

ใช้เวลากว่า 3 ชั่วโมง นำก้างปลาออกจากตับได้สำเร็จ

หลังผ่าตัดนานกว่า 3 ชั่วโมง แพทย์พบก้างปลาขนาดยาวประมาณ 3.5 เซนติเมตร แหลมคมเหมือนเข็ม ปักลึกอยู่ในเนื้อตับซีกซ้าย ทีมแพทย์สามารถนำออกได้สำเร็จโดยไม่ต้องตัดตับ หลังผ่าตัดผู้ป่วยอาการดีขึ้นอย่างต่อเนื่อง อุณหภูมิร่างกายกลับเป็นปกติ และฝีในตับค่อย ๆ ยุบลง

แพทย์เตือนอย่ารักษาตามความเชื่อโบราณ

แพทย์เตือนว่า หากเกิดก้างปลาติดคอ ห้ามใช้วิธีตามความเชื่อ เช่น “กลืนข้าวคำใหญ่” หรือ “ดื่มน้ำส้มสายชู” เพราะนอกจากจะไม่ช่วยให้ก้างนิ่มลงแล้ว ยังอาจทำให้หลอดอาหารหรือกระเพาะอาหารถลอกและอักเสบมากกว่าเดิม

หากมีอาการเจ็บคอ กลืนลำบาก หรือสงสัยว่าก้างอาจทะลุลึกเข้าไป ควรรีบไปโรงพยาบาลทันที เพราะก้างเล็ก ๆ ชิ้นเดียวสามารถทำให้เกิดแผลทะลุลำไส้ ฝีในตับ หรือเส้นเลือดแตกจนเสียชีวิตได้หากปล่อยทิ้งไว้นาน

 

ช็อกทั้งบ้าน ชายรักสุขภาพ ไม่สูบ-ไม่ดื่ม สุดท้ายฆาตกรคือ \

ช็อกทั้งบ้าน ชายรักสุขภาพ ไม่สูบ-ไม่ดื่ม สุดท้ายฆาตกรคือ "กับข้าว" ที่กินเพราะมีประโยชน์

ช็อกทั้งครอบครัว ชายรักสุขภาพไม่สูบ-ไม่ดื่ม ดับสลดเพราะเมนู "ปลา" ที่อร่อย-มีประโยชน์ กินกันแทบทุกบ้าน แต่ถึงตายถ้าไม่ระวัง!

ไข่มุกหลบไป! ผุดชานมท็อปปิ้งด้วย \

ไข่มุกหลบไป! ผุดชานมท็อปปิ้งด้วย "ปลาทอด" หมอรีบเตือน 3 ข้อ แค่ฟังก็เจ็บท้อง...

กลายเป็นกระแสในโลกออนไลน์ เมื่อมีคลิปวิดีโอแนะนำชานมที่ "ไม่ซ้ำใคร" พร้อมท็อปปิ้ง...ปลาทอด! หมอรีบเตือน 3 ข้อ อย่าล้อเล่นกับสุขภาพ